Skip to content

Full Mouth Reconstruction
() Implant Dentistry in New England

From single implants to complete smile transformation — comprehensive care under one roof.

Who We Help

Break it into 3 clear patient pathways:

01

Discolored, Crooked, Worn or Misaligned Teeth

You hide your smile. Photos make you uncomfortable. You want confidence back.

Explore Smile Design
02

Failing Teeth & Dental Work

Crowns breaking. Bridges failing. Bite collapsing. You’re tired of patchwork fixes.

Explore Full Mouth Rehabilitation
03

Missing Teeth

You want fixed teeth again. Not removable. Not temporary. Permanent solutions.

Explore Implant Solutions

Why Our Clinic Is Different

Comprehensive Reconstruction Not Patchwork Dentistry

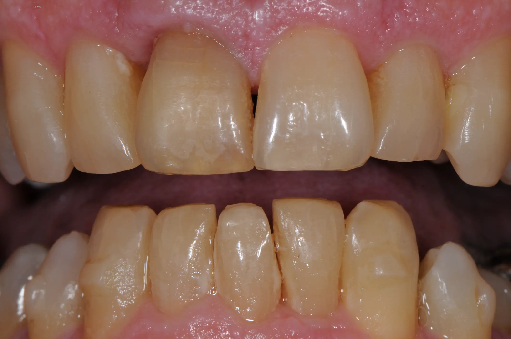
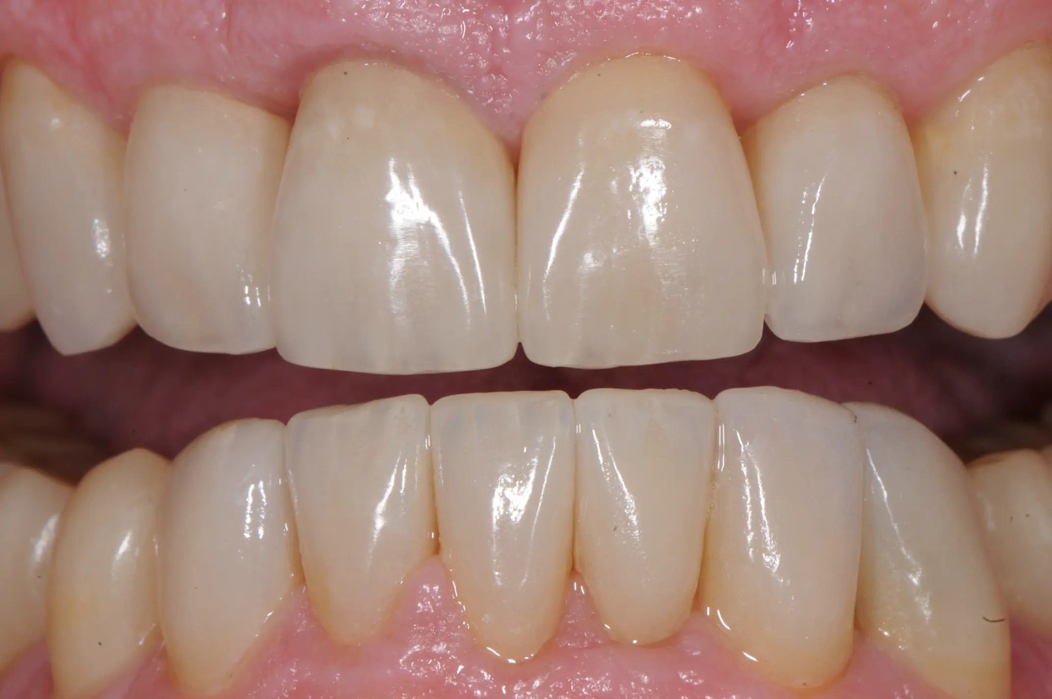
Before & After

Smile Gallery, Real Patients Real Transformations

Contributors:

ALEX FEDORENKO

Dental - Mouth Reconstruction

Contributors:

ALEX FEDORENKO

Dental - Implant Full Arch Cases

Contributors:

ALEX FEDORENKO

Dental - Mouth Reconstruction

Comprehensive Consultation & 3D Imaging

THE PROCESS

Vertical 4-step graphic timeline

You hide your smile. Photos make you uncomfortable. You want confidence back.

You hide your smile. Photos make you uncomfortable. You want confidence back.

Thank you! We'll contact you shortly.

Book Your Consultation
Restore Your Smile

Take the first step toward a restored, confident smile.
Schedule your consultation today.

Polina Batova 3 สัปดาห์ที่แล้ว

I had an appointment at this clinic and I was very satisfied with my experience!) The clinic is very clean, modern and well-organized. The staff is friendly and professional. The doctor was kind, and highly competent. Everything was explained clearly, and I felt comfortable throughout the visit. I truly appreciate the quality of care and would definitely recommend this clinic to others 🥰

Tracy เดือนที่แล้ว

Love Metro dental ! Dr Alex does a great job with implants and taking care of the whole picture. The staff wonderful to work with .

Yevgen Dragoy 2 เดือนที่แล้ว

Great experience at this dental clinic! Dr. Alex and his team are highly professional and attentive to every detail. The quality of work is excellent, and the entire process was smooth and VERY comfortable. Highly recommend this clinic to anyone looking for reliable and high-quality dental care.

Big Kid Barone 2 เดือนที่แล้ว

I dont leave reviews anymore...I forget to update them sorry

Honest person 3 เดือนที่แล้ว

I rarely write positive reviews, but this time I want to say thank you 100%. I truly appreciate honest doctors who care about their reputation, their work, and their patients — not just money. This doctor is exactly that. The free consultation lasted over an hour, not 10 minutes. X-rays were taken, and everything was clearly explained and shown to me: what treatment was needed, why, and what the underlying causes were. There was no rush and no pressure — just professionalism, attention, and genuine care. I am also very happy with the treatment itself. Highly recommended!

Лидия Левина 3 เดือนที่แล้ว

I’d love to share my experience at this dental studio. This was one of those rare times when a dental visit felt calm, comfortable, and genuinely pleasant. I received a complimentary consultation where everything was explained clearly and thoroughly, and a thoughtful treatment plan was created for me. Throughout the entire visit, I felt completely taken care of. The team worked with such professionalism, precision, and care, always paying close attention to my comfort. All of my dental treatment was done beautifully, and I left not only with great results but also feeling relaxed and truly grateful. I’m so happy I trusted this team and found a dental studio I can confidently call my own. Thank you for your professionalism, kindness, and care. I will definitely be coming back.

Aleksei Plotnikov 3 เดือนที่แล้ว

I went to another dentist for five years, and I was disappointed with that place! As for Metro Dental & Implant Studio, the first visit proved to be very effective and informative. I received excellent advice and a clearer idea of what I need to do with my teeth in the coming time! Thank you to these people for their high professionalism and individual approach!

Vlad Getman 4 เดือนที่แล้ว

I haven’t been to the dentist in 9 years and finally decided to make a trip from Missouri to see Dr. Alex and his team! It was the best decision I’ve made! Ребята, у кого проблемы с зубами настоятельно рекомендую эту клинику! Прошел весь курс лечения за два дня. Если бы еще раз приходилось лечить зубы, это было бы только в Метро дентал! Alex is perfect doctor, a Pro in his trait !

Olena Kompanets 6 місяців тому

Дуже дякую лікарю Алексу за гарну роботу відносно моєї посмішки. Людина знаходиться на своєму місті 😊🙌 всім добра 😊

Viktoriya Panchelyga рік тому

Привіт. Завітали в студію і нас одразу охопила благоприємна атмосфера🤗 Адміністратор Кароліна дуже мила 🥰 Гігієна та чистота на вищому рівні. Нам порекомендували і ми стали пацієнтами. Алекс та його команда відповідальні професіонали своєї справи. Ми щиро раді знайомству з цією неймовірною командою🥰 з нетерпінням чекатиму кінцевого результату для мого брата. Сподіваюся він сяятиме не лише посмішкою але і щастям🤗

Natali год назад

Всем привет! Сегодня я хочу дополнить свой отзыв о клинике которую посещаю без стресса и каких то негативных эмоций! Мне не повезло и зубы мое слабое место...поэтому опыт лечения у меня очень большой. И я могу твердо утверждать ,что это лучшая стоматология из всех где мне приходилось лечить зубы! Команда Алекса очень организованная и невероятно компетентна ! При всем этом работники постоянно изучают новые технологии и приспособления. Подход очень индивидуальный к каждому клиенту, терпение и выдержка на высоте. Сотрудники сплочённые и предупреждают действия друг друга, я в восторге! При не предвиденных обязательствах, всегда стараются назначить запись или перенести если не получается приехать в уже назначенный день! Рекомендую от всего сердца! Спасибо!!!

Johao cardona vallejo Hace un año

Bueno, colo hispano en usa, ir al dentista no es favil ni economico, pero la verdad es que en este lugar encontre tanto como in excelente servicio como muy buenos precios, tienen muy buen personal empezando por Carolina la señorita del mostrador, el Dr Ford tiene muy buen trato y aremas es muy claro con el tratamiento!! Super recomendados!! Well, as a Hispanic in the USA, going to the dentist is not easy or economical, but the truth is that in this place I found both excellent service and very good prices, they have very good staff starting with Carolina, the lady at the counter, Dr Ford He has very good treatment and Aremas is very clear with the treatment!! Super recommended!!

Anna Anosova год назад

Выражаю свою признательность волшебным рукам и настоящему лечебному таланту 👍💪🏻Alex Fedorenko Неоднократное двухчасовое лечение пролетало незаметно, все манипуляции были легки и безболезненны, руки врача были невесомы и совершенно не задевали ни щек, ни губ, не давили на челюсти, 🤩а обстановка в кабинете спокойная умиротворяющая, иной раз даже забывала, что нахожусь в кресле стоматолога, если глаза закрыты и звучала негромкая музыка. 😊Благодарю вас, Alex Fedorenko ,за ваш талант Врача!. Рекомендую! И обязательно приеду еще если мне понадобится 😉🤩🫶🏻

Катерина Кравченко 2 года назад

Посещала клинику несколько раз, осталась очень довольной. Доктор Алекс проявил профессионализм в своем деле, учитывая мое положение ( беременность) , все прошло успешно, и чувствовала себя очень хорошо. Огромное спасибо!!!

Jeannette Diaz Hace 2 años

La atención del odontólogo Ford es excelente ya que su profesionalismo hacia el paciente es bueno yo en lo particular soy muy nerviosa y me siento muy cómoda en manos del dentista. También quiero destacar a Carolina la office manager por la atención que le caracteriza muy buena en relaciones públicas

Екатерина Мошковская 2 года назад

Посещала доктора Алекса, имела большие проблемы с зубами. Доктор Алекс всё вылечил отлично, без боли, аккуратно, профессионально, я впервые смогла расслабиться в кресле у стоматолога и не переживать. По вопросам зубов теперь только к нему! Рекомендую! Спасибо за красивую и здоровую улыбку.

Celma Cunha há 2 anos

Encantador, dentista ! super confortável e sem nenhuma dor! Extraordinário serviço, com maestria e paciência para um maravilhoso sorriso que sempre desejei

Mayrene Morillo Hace 2 años

Me encanta el trabajo que me realizó mi doctor. Me siento feliz 😁 gracias!

Nilvane Teixeira há 3 anos

O pessoal da dental importante são muito competente e o trabalho do doctor Alex e excelente. Recomendo muito.

Olga Garcia Hace 3 años

Lo recomiendo al 100% muy buen doctor y el equipo de trabajo exelente.Gracias Dr Alex

Olga Garcia Hace 3 años

Lo recomiendo al 100% muy buen doctor y el equipo de trabajo exelente.Gracias Dr Alex

Nilvane Teixeira há 3 anos

O pessoal da dental importante são muito competente e o trabalho do doctor Alex e excelente. Recomendo muito.

Mayrene Morillo Hace 2 años

Me encanta el trabajo que me realizó mi doctor. Me siento feliz 😁 gracias!

Celma Cunha há 2 anos

Encantador, dentista ! super confortável e sem nenhuma dor! Extraordinário serviço, com maestria e paciência para um maravilhoso sorriso que sempre desejei

Екатерина Мошковская 2 года назад

Посещала доктора Алекса, имела большие проблемы с зубами. Доктор Алекс всё вылечил отлично, без боли, аккуратно, профессионально, я впервые смогла расслабиться в кресле у стоматолога и не переживать. По вопросам зубов теперь только к нему! Рекомендую! Спасибо за красивую и здоровую улыбку.

Jeannette Diaz Hace 2 años

La atención del odontólogo Ford es excelente ya que su profesionalismo hacia el paciente es bueno yo en lo particular soy muy nerviosa y me siento muy cómoda en manos del dentista. También quiero destacar a Carolina la office manager por la atención que le caracteriza muy buena en relaciones públicas

Катерина Кравченко 2 года назад

Посещала клинику несколько раз, осталась очень довольной. Доктор Алекс проявил профессионализм в своем деле, учитывая мое положение ( беременность) , все прошло успешно, и чувствовала себя очень хорошо. Огромное спасибо!!!

Anna Anosova год назад

Выражаю свою признательность волшебным рукам и настоящему лечебному таланту 👍💪🏻Alex Fedorenko Неоднократное двухчасовое лечение пролетало незаметно, все манипуляции были легки и безболезненны, руки врача были невесомы и совершенно не задевали ни щек, ни губ, не давили на челюсти, 🤩а обстановка в кабинете спокойная умиротворяющая, иной раз даже забывала, что нахожусь в кресле стоматолога, если глаза закрыты и звучала негромкая музыка. 😊Благодарю вас, Alex Fedorenko ,за ваш талант Врача!. Рекомендую! И обязательно приеду еще если мне понадобится 😉🤩🫶🏻

Johao cardona vallejo Hace un año

Bueno, colo hispano en usa, ir al dentista no es favil ni economico, pero la verdad es que en este lugar encontre tanto como in excelente servicio como muy buenos precios, tienen muy buen personal empezando por Carolina la señorita del mostrador, el Dr Ford tiene muy buen trato y aremas es muy claro con el tratamiento!! Super recomendados!! Well, as a Hispanic in the USA, going to the dentist is not easy or economical, but the truth is that in this place I found both excellent service and very good prices, they have very good staff starting with Carolina, the lady at the counter, Dr Ford He has very good treatment and Aremas is very clear with the treatment!! Super recommended!!

Natali год назад

Всем привет! Сегодня я хочу дополнить свой отзыв о клинике которую посещаю без стресса и каких то негативных эмоций! Мне не повезло и зубы мое слабое место...поэтому опыт лечения у меня очень большой. И я могу твердо утверждать ,что это лучшая стоматология из всех где мне приходилось лечить зубы! Команда Алекса очень организованная и невероятно компетентна ! При всем этом работники постоянно изучают новые технологии и приспособления. Подход очень индивидуальный к каждому клиенту, терпение и выдержка на высоте. Сотрудники сплочённые и предупреждают действия друг друга, я в восторге! При не предвиденных обязательствах, всегда стараются назначить запись или перенести если не получается приехать в уже назначенный день! Рекомендую от всего сердца! Спасибо!!!

Viktoriya Panchelyga рік тому

Привіт. Завітали в студію і нас одразу охопила благоприємна атмосфера🤗 Адміністратор Кароліна дуже мила 🥰 Гігієна та чистота на вищому рівні. Нам порекомендували і ми стали пацієнтами. Алекс та його команда відповідальні професіонали своєї справи. Ми щиро раді знайомству з цією неймовірною командою🥰 з нетерпінням чекатиму кінцевого результату для мого брата. Сподіваюся він сяятиме не лише посмішкою але і щастям🤗

Olena Kompanets 6 місяців тому

Дуже дякую лікарю Алексу за гарну роботу відносно моєї посмішки. Людина знаходиться на своєму місті 😊🙌 всім добра 😊

Vlad Getman 4 เดือนที่แล้ว

I haven’t been to the dentist in 9 years and finally decided to make a trip from Missouri to see Dr. Alex and his team! It was the best decision I’ve made! Ребята, у кого проблемы с зубами настоятельно рекомендую эту клинику! Прошел весь курс лечения за два дня. Если бы еще раз приходилось лечить зубы, это было бы только в Метро дентал! Alex is perfect doctor, a Pro in his trait !

Aleksei Plotnikov 3 เดือนที่แล้ว

I went to another dentist for five years, and I was disappointed with that place! As for Metro Dental & Implant Studio, the first visit proved to be very effective and informative. I received excellent advice and a clearer idea of what I need to do with my teeth in the coming time! Thank you to these people for their high professionalism and individual approach!

Лидия Левина 3 เดือนที่แล้ว

I’d love to share my experience at this dental studio. This was one of those rare times when a dental visit felt calm, comfortable, and genuinely pleasant. I received a complimentary consultation where everything was explained clearly and thoroughly, and a thoughtful treatment plan was created for me. Throughout the entire visit, I felt completely taken care of. The team worked with such professionalism, precision, and care, always paying close attention to my comfort. All of my dental treatment was done beautifully, and I left not only with great results but also feeling relaxed and truly grateful. I’m so happy I trusted this team and found a dental studio I can confidently call my own. Thank you for your professionalism, kindness, and care. I will definitely be coming back.

Honest person 3 เดือนที่แล้ว

I rarely write positive reviews, but this time I want to say thank you 100%. I truly appreciate honest doctors who care about their reputation, their work, and their patients — not just money. This doctor is exactly that. The free consultation lasted over an hour, not 10 minutes. X-rays were taken, and everything was clearly explained and shown to me: what treatment was needed, why, and what the underlying causes were. There was no rush and no pressure — just professionalism, attention, and genuine care. I am also very happy with the treatment itself. Highly recommended!

Big Kid Barone 2 เดือนที่แล้ว

I dont leave reviews anymore...I forget to update them sorry

Yevgen Dragoy 2 เดือนที่แล้ว

Great experience at this dental clinic! Dr. Alex and his team are highly professional and attentive to every detail. The quality of work is excellent, and the entire process was smooth and VERY comfortable. Highly recommend this clinic to anyone looking for reliable and high-quality dental care.

Tracy เดือนที่แล้ว

Love Metro dental ! Dr Alex does a great job with implants and taking care of the whole picture. The staff wonderful to work with .

Polina Batova 3 สัปดาห์ที่แล้ว

I had an appointment at this clinic and I was very satisfied with my experience!) The clinic is very clean, modern and well-organized. The staff is friendly and professional. The doctor was kind, and highly competent. Everything was explained clearly, and I felt comfortable throughout the visit. I truly appreciate the quality of care and would definitely recommend this clinic to others 🥰

Our Location

Service Hours

Monday - Friday 9:00 AM - 5:00 PM
Saturday Closed
Sunday Closed